Boston's Top Premier Orthodontist
Your Smile.
Transformed.
Board-certified orthodontic care in the heart of Boston's Seaport District. Experience the difference of personalized treatment with Dr. Osborn.
Book Free Consultation
Meet the Doctor
Dr. Osborn
Born in Estonia and raised in Boston, Dr. Osborn knows the confidence a transformed smile can bring—her own journey inspired her to help others. She completed her undergraduate, graduate, and post-doctoral training at Brandeis University and Boston University, earning a Certificate of Advanced Graduate Studies in Orthodontics and Dentofacial Orthopedics and a Master of Science in Dentistry.
“I envisioned a boutique practice with a refined approach modern, fun, and vibrant where every detail is considered and designed for anyone who values craft and clarity.”
Dr. Osborn partners with her husband, Dr. Tim Osborn, on complex jaw surgery cases. Outside the studio, she's a new mom who loves cooking, baking, fitness, travel, and Korean culture.
Our Services
Comprehensive orthodontic solutions tailored to your unique needs.

Invisalign
Clear aligners that are virtually invisible. We specialize in Invisalign with remote monitoring technology.

Traditional & Ceramic Braces
Modern metal and ceramic braces for effective treatment with the latest orthodontic technology.

Surgical Orthodontics
Comprehensive care for complex cases including jaw surgery coordination. Dr. Osborn partners with oral surgeons for optimal results.

Retainers
Maintain your new smile after treatment with best-in-class retainers designed to keep your teeth perfect forever

Early Treatment
Phase 1 treatment for children to address orthodontic issues early, setting the foundation for a healthy smile.

Free Consultation
A complimentary initial consultation to explore your goals, capture 3D scans, and get a preview your future smile
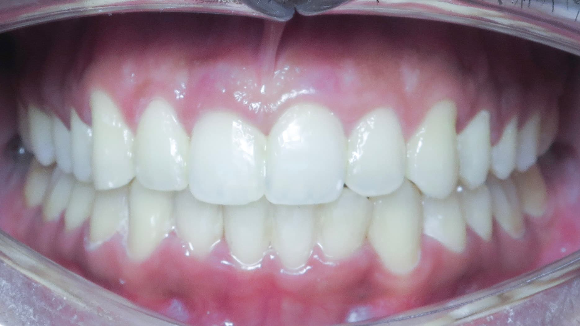
Real Results from Real Patients
Drag the slider to see the transformative power of personalized orthodontic care


Real Transformations from Boston Professionals
Hear from busy professionals who chose boutique orthodontic care for their smile transformation.
“Dr. Osborn's expertise made all the difference. As a marketing director, I needed discretion and efficiency. The Invisalign treatment was perfect—no one at work even noticed, and the results exceeded my expectations.”
“The boutique atmosphere and board certification gave me confidence in my choice. Dr. Osborn's treatment plan was thorough, and the transformation exceeded my expectations. Exceptional care.”
“The refined atmosphere combined with clinical excellence is rare. Dr. Osborn's attention to detail and the team's personalized approach made this the best healthcare experience I've had.”
The Seaport Experience
Modern, clean, and welcoming—from reception to treatment rooms. Thoughtful design and technology help reduce anxiety and elevate your visit.



Transparent Pricing with Flexible Options
Quality orthodontic care is an investment in your confidence and health. We offer clear pricing and flexible payment options to make boutique treatment accessible to anyone.
- • limited treatment as low as $2250 with some insurance plans
- • comprehensive treatment as low as $3750 with some insurance plans
Friends & Family Discount
Save when multiple family members or friends start treatment together!
Pay in Full Discount
Special savings when you pay for your complete treatment upfront!
Invisalign Treatment
Limited treatment can be as low as $2,250 with insurance
- ✓Comprehensive treatment planning
- ✓All aligners and refinements
- ✓Remote monitoring included
- ✓Retainers and follow-up care
Complete Orthodontic Care
Traditional and ceramic braces; insurance can reduce comprehensive cases to $3,750
- ✓Board-certified treatment
- ✓All appointments and adjustments
- ✓Emergency care included
- ✓Lifetime retention support
Retainer Subscription
Maintain your perfect smile
- ✓Unlimited retainer replacements
- ✓Annual check-ups included
- ✓Priority scheduling
- ✓Cancel anytime
Flexible Payment Options
Friends and Family Discount Available!
Bring your loved ones and save on treatment costs
✓ Insurance accepted and filed for you
✓ Monthly payment plans available
✓ CareCredit® and other financing options
Visit Us
Locations
Main Office:
268 Summer Street, 2nd Floor
Boston, MA 02210
Second Location: 287 Middlesex Ave, Medford, MA 02155 (by appointment — call or email us to schedule)
Hours
Monday: 8AM-4PM
Tuesday: 10AM-6PM
Wednesday: 8AM-5PM
Thursday: 8AM-4PM
Friday: (At Second Location CMF Surgeon By appointment only)
Saturday-Sunday: Closed
Contact
(617) 752-2220
hello@seaportsmiles.com

Seaport Smiles is a top 1% Diamond Invisalign provider in Boston/Seaport, offering Invisalign aligners, clear braces, accelerated orthodontics, and comprehensive adult and teen treatments.